اهمیت تقارن در آرتروپلاستی دوطرفه زانو | بهبود عملکرد و کاهش عوارض

اهمیت تقارن در آرتروپلاستی دوطرفه زانو | بهبود عملکرد و کاهش عوارض

۱۳:۵۴ - ۱۴۰۴/۱۱/۱۰
مقاله
شماره خبر: -۱۰۲۴۲۰۲۴

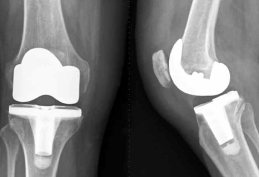
آرتروپلاستی دوطرفه زانو یکی از روش‌های مؤثر برای کاهش درد و بهبود عملکرد مفصل در بیماران مبتلا به آرتروز پیشرفته است. تقارن دقیق در قرارگیری پروتزها، طول اندام و تراز مفصل، نقش کلیدی در کاهش عوارض، افزایش دامنه حرکتی و بهبود کیفیت زندگی بیماران دارد. هرگونه عدم تقارن می‌تواند منجر به درد، ناپایداری و مشکلات مکانیکی شود. در این مقاله به بررسی اهمیت تقارن در آرتروپلاستی دوطرفه زانو، روش‌های جراحی، فاکتورهای کلیدی برای دستیابی به نتایج بهینه و مراقبت‌های پس از عمل پرداخته شده است.

📞 ۰۹۱۰۲۰۱۷۶۳۶ 📞 ۰۹۱۰۲۰۱۷۶۴۶ 📞 ۰۲۱۹۱۳۰۱۷۸۹ واتس‌اپ ۲ واتس‌اپ ۱ رزرو نوبت

چکیده

آرتروپلاستی دوطرفه زانو یکی از روش‌های مؤثر برای کاهش درد و بهبود عملکرد مفصل در بیماران مبتلا به آرتروز پیشرفته است. تقارن دقیق در قرارگیری پروتزها، طول اندام و تراز مفصل، نقش کلیدی در کاهش عوارض، افزایش دامنه حرکتی و بهبود کیفیت زندگی بیماران دارد. هرگونه عدم تقارن می‌تواند منجر به درد، ناپایداری و مشکلات مکانیکی شود. در این مقاله به بررسی اهمیت تقارن در آرتروپلاستی دوطرفه زانو، روش‌های جراحی، فاکتورهای کلیدی برای دستیابی به نتایج بهینه و مراقبت‌های پس از عمل پرداخته شده است.

مقدمه

آرتروپلاستی زانو، به ویژه در بیماران مبتلا به آرتروز شدید دوطرفه، می‌تواند درد را کاهش داده و کیفیت زندگی را به شکل چشمگیری بهبود دهد. با این حال، موفقیت بلندمدت جراحی به رعایت اصول تقارن و تراز مناسب پروتزها بستگی دارد.

تقارن در ارتفاع و زاویه قرارگیری پروتز، تعادل عضلانی و طول اندام‌ها، نقش مهمی در پیشگیری از درد مزمن، سفتی مفصل و ناپایداری زانو دارد. جراح باید با استفاده از تکنیک‌های دقیق و ابزارهای کمکی، مانند راهنمای‌های مکانیکی و تصویربرداری پیشرفته، موقعیت پروتز را به طور دقیق تنظیم کند.

پس از جراحی، برنامه فیزیوتراپی منظم و تمرینات هدفمند برای حفظ تقارن و دامنه حرکتی، کلید موفقیت در بازگرداندن عملکرد طبیعی زانو و کاهش عوارض است.

علائم و نشانه ها

درد و ناراحتی غیرطبیعی در زانوها پس از عمل.

محدودیت دامنه حرکتی و احساس خشکی مفصل.

ناپایداری و سختی در هنگام راه رفتن یا تغییر وضعیت.

تفاوت طول اندام‌ها یا تغییر در نحوه راه رفتن.

تورم و التهاب زانو در صورت تحریک بافت‌های نرم.

روش های تشخیص

معاینه بالینی شامل بررسی دامنه حرکتی، ثبات مفصل و تراز اندام‌ها.

تصویربرداری با اشعه ایکس و CT برای ارزیابی موقعیت پروتز و تقارن دو طرف.

استفاده از نرم‌افزارهای پیشرفته برای تحلیل بیومکانیکی حرکت و ترازبندی.

ارزیابی عملکرد عضلات و تاندون‌ها توسط فیزیوتراپیست و پزشک متخصص.

روش های درمان

برنامه تمرینی فیزیوتراپی هدفمند برای اصلاح عدم تقارن.

استفاده از ارتوز و وسایل کمکی برای حمایت و کاهش فشار مکانیکی.

کنترل درد و تورم با داروهای مناسب و روش‌های غیردارویی.

در موارد شدید، جراحی اصلاحی برای تنظیم مجدد پروتزها و بازگرداندن تقارن.

مراقبت‌های درمانی

پیگیری منظم وضعیت زانو و بررسی تقارن اندام‌ها.

تمرینات روزانه تحت نظر فیزیوتراپیست برای حفظ تراز و عملکرد طبیعی مفصل.

مدیریت درد و تورم جهت تسهیل انجام تمرینات و جلوگیری از ایجاد محدودیت حرکتی.

عوارض احتمالی

ناپایداری زانو و درد مزمن در صورت عدم تقارن.

ایجاد فشار اضافی روی پروتزها و افزایش خطر شل شدن یا ساییدگی.

کاهش دامنه حرکتی و محدودیت فعالیت‌های روزمره.

توصیه های پزشکی

رعایت دقیق تکنیک‌های جراحی و استفاده از ابزارهای کمکی برای تقارن پروتز.

برنامه فیزیوتراپی منظم و تمرینات هدفمند برای حفظ عملکرد و تراز طبیعی زانو.

آموزش بیمار در زمینه مراقبت‌های پس از عمل و اهمیت همکاری در انجام تمرینات.

در گفت‌وگویی که با آقای دکتر صحرانورد، بهترین پزشک ارتوپد انجام شد، پنج سؤال متداول که بیشترین میزان پرسش بیماران را به خود اختصاص داده بود، مطرح گردید و ایشان به صورت تخصصی و جامع به این سؤالات پاسخ دادند.

سوالات متداول بیماران

✅ چرا تقارن در آرتروپلاستی دوطرفه زانو مهم است؟

🔵تقارن صحیح باعث کاهش درد، جلوگیری از ناپایداری و افزایش طول عمر پروتزها می‌شود و عملکرد طبیعی زانو را حفظ می‌کند.

✅ عدم تقارن چه علائمی ایجاد می‌کند؟

🔵تفاوت طول اندام‌ها، درد هنگام راه رفتن، محدودیت دامنه حرکت و ناپایداری مفصل از علائم شایع است.

✅ چگونه می‌توان تقارن را پس از عمل حفظ کرد؟

🔵پیگیری برنامه فیزیوتراپی منظم، تمرینات هدفمند و استفاده از وسایل کمکی در صورت نیاز، کمک‌کننده است.

✅ آیا نیاز به جراحی اصلاحی در صورت عدم تقارن وجود دارد؟

🔵در موارد شدید که درد یا ناپایداری باقی بماند، ممکن است جراحی اصلاحی برای بازگرداندن تقارن ضروری باشد.

✅ چه نقش بیمار در حفظ تقارن دارد؟

🔵انجام منظم تمرینات، رعایت توصیه‌های پزشک و همکاری با فیزیوتراپیست، کلید موفقیت در حفظ تقارن و عملکرد زانو است.

ارتباط با پزشک و رزرو نوبت

📞 جهت دریافت نوبت و ارتباط مستقیم با مطب دکتر علیرضا صحرانورد می‌توانید با شماره‌های زیر تماس بگیرید:

09102017646 📞

09012017636 📞

خدمات دکتر علیرضا صحرا نورد

دکتر علیرضا صحرانورد یکی از بهترین و باتجربه‌ترین جراحان ارتوپدی در ایران هستند که با سال‌ها سابقه موفق در زمینه جراحی استخوان، مفاصل و درمان آسیب‌های اسکلتی‌ـ‌عضلانی، همواره مورد اعتماد بیماران و جامعه پزشکی بوده‌اند. ایشان در حال حاضر در تهران به ارائه خدمات تخصصی ارتوپدی با بالاترین استانداردهای علمی و درمانی می‌پردازند.حوزه تخصصی اصلی دکتر صحرانورد، جراحی‌های تخصصی پا و مچ پا شامل درمان آسیب‌های ورزشی، آرتروسکوپی مچ پا و درمان زخم پای دیابتی است. علاوه بر این، ایشان در درمان طیف گسترده‌ای از بیماری‌های عمومی ارتوپدی از جمله آرتروز، دردهای مفاصل ،پیچ‌خوردگی‌ها و دردهای عضلانی نیز فعالیت گسترده و تخصصی دارند.از دیگر خدمات تخصصی دکتر علیرضا صحرانورد می‌توان به جراحی هالوکس والگوس (قوز شست پا)، درمان خار پاشنه، اصلاح کف پای صاف و انجام جراحی‌های اصلاحی پا با بالاترین دقت و مهارت اشاره کرد. استفاده از روش‌های کم‌تهاجمی، و تزریقات تخصصی مانند PRP ،تزریق ژل از رویکردهای نوین درمانی ایشان برای تسریع روند بهبود بیماران به شمار می‌رود.

نظرات

هنوز نظری ثبت نشده است. اولین باشید!

آیا مایل به اطلاع از مطالب جدید هستید؟